
-20% на первое лечение
Терапевтическая стоматология в Днепре – лечение зубов без боли
К услугам терапевтической стоматологии входят профилактика и лечение зубов, в частности, кариеса, пульпитов, периодонтита, пломбирование каналов и реставрация зубов, лечение слизистой оболочки рта. Все эти процедуры обеспечит наша стоматология в Днепре (Соборный район).
Услуги

Первичный осмотр стоматолог-терапевт начинает с диагностики зубов и ротовой полости. Может быть профилактическим и гигиеническим.

Если повреждена эмаль зубов и образовалась кариесная полость, применяют пломбирование. Основная задача – восстановление функций зубных единиц и предотвращение инфекций в зубах и костной ткани.

Косметическая реставрация зубов проводится так, чтобы пломбы были незаметны. Кроме того, художественная реставрация кривых зубов позволяет устранить любые дефекты.
Цены
Консультация терапевта
500 грн
Пломбирование зубов
від 1 500 грн
Реставрация зубов (эстетическая)
від 2 000 грн
Этапы лечения
Обзор и диагностика.
Лечение
Контрольный обзор
Предшествующее обследование оценивает состояние слизистой рта и зубного ряда. Может дополнительно применяться рентгеноскопия, другая аппаратная диагностика составляет схему лечения.
Традиционно проводится в несколько этапов. По показаниям могут применяться местная анестезия или седация.
Заключительный этап – контроль окклюзии, шлифовки и полировки. В конце врач предоставит рекомендации по уходу.
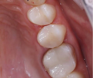
Галерея результатов
Преимущества клиники

1
Безболезненное лечение без осложнений. Возможность применения анестезии и седации.
2
Цифровые технологии и инновационное оборудование, гарантирующее высокое качество услуг.
3
Стремление к сохранению зубных единиц и применению максимально безопасных методов, включая эндодонтические (под микроскопом).
Частые вопросы
Стоматология ArtSmile: терапевтическое лечение без боли
К услугам терапевтической стоматологии относятся профилактика и лечение зубов, в частности, кариеса, пульпитов, периодонтита. Также это пломбирование и реставрация зубов, лечение слизистой рта. Наш стоматолог-терапевт в Днепре (Соборный район) выполнит эти процедуры на самом высоком уровне.
Что лечит стоматолог-терапевт?
Начинает осмотр стоматолог-терапевт с диагностики зубов и ротовой полости. Своевременная консультация позволяет предупредить многие дентальные проблемы. Осмотр стоматолога может быть профилактическим и гигиеническим, когда требуется профессиональная чистка для удаления зубного камня и налета, укрепления эмали. Во время консультации стоматолога можно узнать, сколько стоит лечение зубов.
Если повреждена эмаль зубов, образовалась кариозная полость, применяют пломбирование передних зубов или других зубных единиц для восстановления их функций и предотвращения инфекций в структуре зубов и костной ткани. К тому же цена на пломбирование оптимальна, а на первое стоматологическое лечение зубов в клинике Днепра ArtSmile предоставляется скидка 10%.
При этом развитие кариеса непосредственно связано с пульпитом – воспалением пульпы зуба, где сосредоточены сосудисто-нервные окончания. Если вовремя не обратиться к врачу, дальше – периодонтит. Зуб теряет свои функции, а человек испытывает не просто боль, а зубной болевой синдром.
Эстетическая реставрация зубов проводится так, что пломбы практически незаметны, а зубы выглядят естественно. Кроме того, художественная реставрация кривых зубов позволяет устранить любые дефекты.
Стоматологическая терапия: основные шаги
Стоматологическая терапия для лечения зубов охватывает целый комплекс процедур. Подробнее о них расскажет стоматолог. При этом цена реставрации зубов любого уровня сложности, даже имплантация зубов, остается оптимальной. Этапы таковы:
-
Осмотр и диагностика. На этом этапе стоматолог составляет схему лечения.
-
Лечение. Включает непосредственное препарирование и пломбирование зубов, цены на которые доступны для любого бюджета. Могут потребоваться дополнительные процедуры в случае осложнений, а также местная анестезия или седация.
-
Эстетическая реставрация передних зубов, цена на которую также доступна.
-
Контрольный осмотр – мониторинг окклюзии, шлифовка и полировка. В завершение врач даст рекомендации по уходу. Особенно важно следовать им при эстетической реставрации зубов, цена на которую не превышает среднюю по рынку.
Точно, сколько стоит реставрация зубов, может сказать только врач, который составляет план лечения. Художественная реставрация передних зубов, цены на которую точно порадуют вас, доступна каждому.




